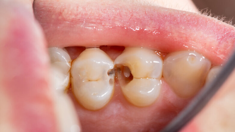
Investigadores da Faculdade de Medicina Dentária da Universidade de Washington (Seattle, Estados Unidos da América) identificaram um terceiro fenótipo de inflamação oral, a que chamaram de ‘lenta’, face a uma resposta inflamatória forte retardada após a acumulação de biofilme. Anteriormente, existiam dois grandes fenótipos de inflamação oral conhecidos, a alta resposta clínica e a baixa resposta clínica.
O estudo revelou ainda que os participantes com baixa resposta clínica demonstraram uma resposta inflamatória baixa a vários sinais de inflamação: “Na verdade, este estudo revelou uma heterogeneidade na resposta inflamatória à acumulação bacteriana que não foi descrita anteriormente” afirma o coautor Richard Darveau, em comunicado.
“Encontrámos um grupo particular de pessoas que têm um desenvolvimento mais lento de placa, bem como uma distinta composição da comunidade microbiana antes do início do estudo”, explicou o cientista Jeffrey Scott McLean.
De acordo com os investigadores, compreender a variação na inflamação gengival poderia ajudar a identificar melhor aqueles que estão em risco elevado de desenvolver periodontite. Além disso, os responsáveis pelo estudo acreditam que a variação na resposta inflamatória pode estar associada à suscetibilidade a outras doenças inflamatórias associadas a bactérias crónicas, como a doença inflamatória intestinal.
Finalmente, o estudo também identificou uma nova resposta protetora pelo corpo que foi desencadeada pela acumulação de biofilme e que pode ajudar a salvar tecidos moles e ossos durante a inflamação. De acordo com a investigação, o mecanismo usa neutrófilos para regular a população bacteriana na boca para manter a homeostase saudável.
O estudo envolveu 21 participantes e os investigadores realizaram avaliação clínica e amostragem da bactéria oral em pontos de tempo precoce e tardio.
A investigação, intitulada “Human variation in gingival inflammation,” foi publicada online no Proceedings of the National Academy of Sciences of the United States of America.
O Grupo Parlamentar do Partido Socialista apresentou o Projeto de Lei n.º 412/XVII, que prevê a criação da Carreira Especial de Medicina Dentária no ...
As Jornadas da Primavera, organizadas pela Ordem dos Médicos Dentistas (OMD), regressam após uma interrupção de três anos. A Ilha de São Miguel, nos ...
O acordo estabelecido é válido para a área da formação, investigação e da prestação de serviços à comunidade, na área da Medicina Dentária. O ...
Um novo estudo da Universidade de Bristol concluiu que muitos procedimentos comuns da medicina dentária produzem volumes insignificantes de aerossóis, o ...
Luís Monteiro, Professor associado da CESPU é neste momento diretor da Unidade de investigação UNIPRO, Unidade de Investigação em Patologia Oral e ...
O SMD está a promover a petição “Regime especial de antecipação da idade de pensão por velhice para os médicos dentistas”, lei que pretende ...
Entre os resultados do estudo, liderado pelo investigador português Luís Lapão, da Faculdade de Ciências da Universidade Nova de Lisboa|NOVA FCT, ...
A Faculdade de Medicina Dentária da Universidade Católica Portuguesa (FMD-UCP) passou a integrar simuladores SimToCare no seu modelo de ensino, ...
As candidaturas podem ser apresentadas em equipa, ou seja, por mais do que um candidato, devendo, porém, todos os membros da equipa cumprir os requisitos ...
A nova direção executiva foi eleita para o triénio 2025-2028, em Assembleia Geral realizada a 13 de Dezembro de 2025, em Berlim, Alemanha.
Webinar ao vivo
qua. 15 abril 2026
1:00 WET (Lisbon)
Dr. Bruce McFarlane Certified Specialist in Orthodontics Fellow: Royal College of Dentists of Canada Diplomate: American Board of Orthodontics
Webinar ao vivo
qua. 15 abril 2026
19:00 WET (Lisbon)
Webinar ao vivo
qui. 16 abril 2026
1:00 WET (Lisbon)
Linda Hecker MS, BSDH, RDH
Webinar ao vivo
qui. 16 abril 2026
17:00 WET (Lisbon)
Dr. Pär-Olov Östman, Dr. Robert Gottlander DDS
Webinar ao vivo
sex. 17 abril 2026
17:00 WET (Lisbon)
Webinar ao vivo
sex. 17 abril 2026
18:00 WET (Lisbon)
Dr. Stuart Yeaton BDentSc, MOrth
Webinar ao vivo
seg. 20 abril 2026
18:00 WET (Lisbon)
Dr. Alberto Monje DDS, MS, PhD
To post a reply please login or register